Com dor de cabeça, mulher descobre tumor cerebral de 15 anos
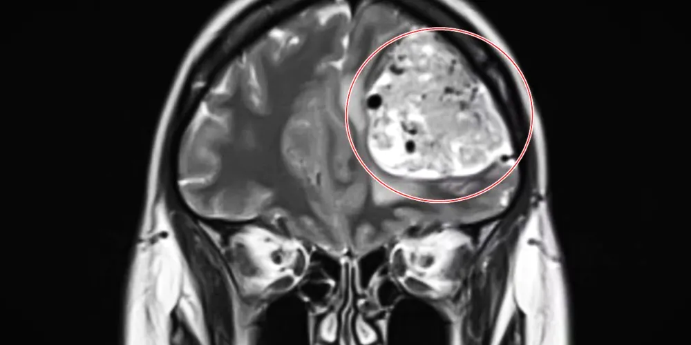
Após exames, foi identificada uma grande massa em seu lobo frontal esquerdo

A educadora britânica Nikita Sterling enfrentou por mais de 20 anos enxaquecas que ela considerava meros desconfortos esporádicos. Os incidentes começaram aos 18 anos e permaneceram raros por muitos anos. No início de abril de 2025, com 39 anos, ela recebeu o diagnóstico de meningioma de grau 1.
Em seu perfil nas redes sociais, a docente descreve que em outubro de 2024 começou a experimentar dores de cabeça fortes e frequentes, acompanhadas de uma pressão contínua na cabeça. Em certas ocasiões, as crises de dor ocorriam mais de 20 vezes ao dia e podiam durar até 10 minutos.
Preocupada com o agravamento das dores, Nikita procurou assistência médica. Embora tenha tentado várias vezes com o clínico geral, não conseguiu respostas precisas. Em uma de suas crises mais severas, foi levada ao pronto-socorro pelo marido, Dean, mas não foi imediatamente encaminhada para uma investigação.
Após optar por desembolsar cerca de R$ 2,5 mil por uma ressonância magnética particular, a vida da mulher sofreu uma transformação: em poucas horas, ela recebeu uma chamada solicitando que se dirigisse imediatamente ao hospital, uma vez que os exames apontaram uma grande massa em seu lobo frontal esquerdo.
Nikita recorda-se do impacto ao visualizar a imagem do tumor e ouvir do médico que se tratava de uma grave lesão cerebral.
“Fiquei apavorada. Meus piores medos e preocupações se confirmaram. Tinha um tumor cerebral e não sabíamos que tipo era. Nunca senti tanto medo”, conta Nikita em um texto publicado na plataforma Given Gain. Ela está fazendo parte de uma campanha para arrecadar fundos para a instituição de caridade britânica Brain Tumour Charity.
Em 7 de abril, ela teve uma consulta com um médico especialista e foi informada de que o tumor precisava ser retirado, uma vez que já apresentava perigo de graves complicações neurológicas.
Quatro indícios comuns que podem sugerir um tumor cerebral:
- Dores de cabeça constantes;
- Mudanças nos sentidos como tato, olfato, paladar, visão e audição;
- Convulsões ou crises epiléticas;
- Desequilíbrio.
A cirurgia foi marcada para 22 de abril - data que coincidia com o aniversário de 40 anos de Dean. Apesar do medo, Nikita sentiu alívio por finalmente receber tratamento. O procedimento foi um sucesso, e apenas dois dias depois ela já estava em casa.
A recuperação, no entanto, não foi simples: ela enfrentou inchaço no rosto, pontos extensos na cabeça e perda temporária de sensibilidade no couro cabeludo. Ainda assim, poucas semanas depois, recebeu a melhor notícia possível: o tumor era benigno e de crescimento lento. Segundo os médicos, ele provavelmente esteve em evolução por mais de 15 anos.
Com informações: Metrópoles.





















