Parasita capaz de alterar comportamento humano já infectou bilhões no mundo
Estudos sugerem que Toxoplasma gondii pode influenciar emoções, decisões e risco de distúrbios psiquiátricos

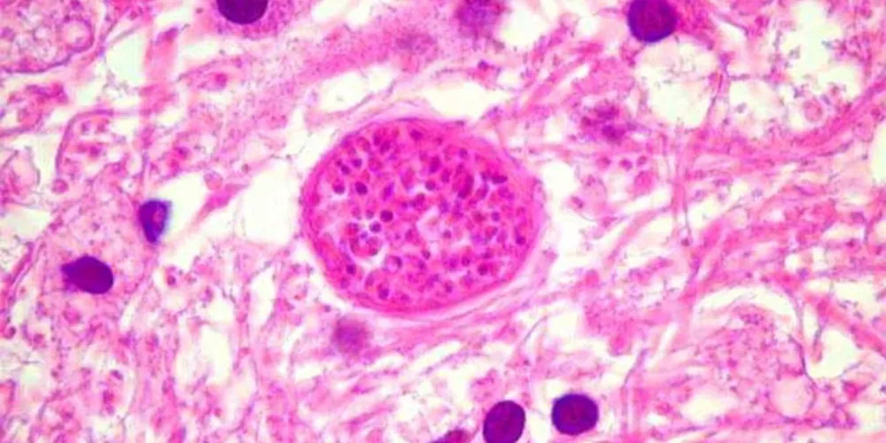
Um parasita microscópico, presente em cerca de um terço da população mundial, pode estar influenciando silenciosamente o comportamento humano. Trata-se do Toxoplasma gondii, protozoário que, segundo estimativas da Organização Mundial da Saúde (OMS), já infectou cerca de dois bilhões de pessoas.
Embora tradicionalmente considerado inofensivo para adultos saudáveis, novas pesquisas vêm revelando potenciais efeitos no cérebro e no comportamento.
O ciclo de vida do Toxoplasma gondii tem como hospedeiro definitivo o gato, onde o parasita se reproduz. Para completar esse ciclo, ele precisa passar por outros hospedeiros intermediários, como roedores ou humanos. Em ratos, a infecção leva à perda do medo de gatos, tornando-os mais vulneráveis à predação e facilitando o retorno do parasita ao felino. Esse fenômeno intrigou cientistas quanto ao possível impacto do protozoário em seres humanos.
As primeiras suspeitas de alterações comportamentais em humanos surgiram nos anos 2000. Pesquisadores como Jaroslav Flegr, da Universidade Carolina de Praga, observaram que pessoas infectadas apresentavam mudanças sutis de personalidade. Homens mostravam-se mais irritáveis e propensos a assumir riscos, enquanto mulheres exibiam maior calor emocional e respeito a normas sociais. Esses resultados geraram debates na comunidade científica.
Outros estudos reforçaram as hipóteses. Uma pesquisa publicada no periódico Schizophrenia Bulletin, em 2012, encontrou ligação entre toxoplasmose latente e aumento do risco de distúrbios psicóticos, incluindo a esquizofrenia.
Confira a matéria completa no R7.com.




















